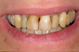
Our dentist and team at Clearpoint Dentistry know that a beautiful smile can change how you feel about yourself and how others look at you. That is why we offer cosmetic and restorative procedures at our dental office in Houston, Texas, to give you a white, straight, gorgeous smile like the ones below. We invite you to call Dr. Lupy Gonzalez at 281-487-2400 if you would like to learn more about the benefits of these services. We are eager to enhance your smile!
11458 Space Center Blvd., Houston, TX 77059 281-487-2400
.jpg)
.jpg)
.jpg)
.jpg)
.jpg)
.jpg)
.jpg)
.jpg)
.jpg)
.jpg)
.jpg)
.jpg)

